
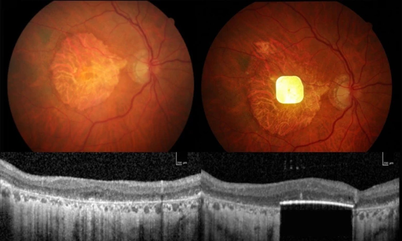
מדענים אירופיים פיתחו שבב רשתית מהפכני שמחזיר את הראייה לאנשים שאיבדו אותה בעקבות ניוון מקולרי מתקדם (AMD) - סוג עיוורון שנחשב לחשוך מרפא ונפוץ במיוחד בקרב מבוגרים. השבב, שגודלו 2 על 2 מילימטרים ועוביו כ-30 מיקרומטר בלבד, מושתל בניתוח עדין מתחת לרשתית ומחליף את תאי הקנים והמדוכים (קולטי אור ברשתית) שנהרסו במחלה.
המחקר, שפורסם בכתב העת המדעי The New England Journal of Medicine, כלל 38 משתתפים עם AMD מתקדם, המטופלים ב-17 מרכזים רפואיים ברחבי אירופה. שנה לאחר ההשתלה, 80% מהמטופלים חוו שיפור ראייה שנחשב לקליני - כמעט כולם דיווחו על חזרה ליכולת קריאה, זיהו אותיות ומילים ויכלו שוב לתפקד בסביבה היום-יומית. "איפה שהייתה 'נקודה עיוורת' מוחלטת, הראייה חזרה," סיכם ד"ר פרנק הולץ, ראש המחקר מאוניברסיטת בון בגרמניה.
השתל נקרא PRIMA והוא פותח תחילה בצרפת ונרכש לאחרונה על-ידי חברת Science Corporation מסן פרנסיסקו. בשונה משתלים קודמים, PRIMA הוא שתל פוטו-וולטאי נטול חוטים - כלומר הוא מופעל ישירות על-ידי פוטונים שמספקים גם את החשמל הדרוש להפעלתו. הוא משולב עם משקפיים מיוחדים שבתוכן מצלמה, שמעבירה תמונת אינפרה-אדום לשבב שבקצה הרשתית, ולמעשה מחייה מחדש את המסלול העצבי שנקטע במחלה.
המערכת מצריכה תקופת הסתגלות ואימון ממושכת, אך בסיום הניסוי מרבית המשתמשים דיווחו על שביעות רצון גבוהה מהשתל, והיו מסוגלים לבצע קריאה של אותיות, מילים ומספרים בביתם. מנתוני הניסוי, כ-26 מתוך 32 משתתפים שנבדקו לאחר שנה השיגו שיפור קליני במדדי הראייה, ובממוצע ראייתם השתפרה בשתי שורות בטבלת בדיקת ראייה סטנדרטית.
אמנם מספר מטופלים חוו תופעות לוואי קלות בעקבות הניתוח, אך ועדות הבטיחות קבעו שבסך הכול יתרונות ההשתלה עולים על סיכוניה. בעקבות ההצלחה, החברה המפתחת כבר הגישה בקשה לאישור השיווק של המוצר בשוק האירופי.
הפריצה הזו מציתה תקווה בקרב מיליוני אנשים הסובלים מ-AMD יבש בעולם - מחלה שעד כה לא נמצא לה מענה. "זו פריצת דרך משמעותית שנותנת תקווה לחולים שבעבר דובר על פתרונות רק במדע בדיוני," ציינה פרופ' פרנצ'סקה קורדיירו מאימפריאל קולג' בלונדון. כעת עיני העולם נשואות לשלב הבא: הרחבת ההנגשה של השתל המהפכני לכל החולים שזקוקים לו.










0 תגובות