

סיפור הצלה דרמטי התרחש רגע לפני ערב החג בבית החולים הציבורי אסותא אשדוד, כאשר צוותים רפואיים הצילו את חייו של פעוט בן שנה וחצי שבלע סוללת ליתיום. המקרה, שהיה עלול להסתיים בטרגדיה, הסתיים בהצלחה בחסיד שמיים.
משה, פעוט מאשדוד, הגיע למיון הילדים בבית החולים לאחר שבלע סוללת ליתיום – מצב רפואי מסוכן במיוחד שעלול לגרום לכוויות כימיות וחשמליות קשות במערכת העיכול. כידוע, בליעת סוללות מסוג זה מהווה סכנת חיים ממשית, שכן המטען החשמלי והחומר הכימי שבסוללה עלולים לגרום לנזק בלתי הפיך לרקמות תוך דקות ספורות.
במקרה זה, הסוללה נותרה בוושט של הפעוט במשך כ-4–5 שעות – פרק זמן חריג שמגביר משמעותית את הסיכון לנזק רחב. הוושט נחשבת לאיבר פגיע במיוחד מכיוון שאין בה זרימת דם רבה וקשה לה להירפא. עם הגעתו למיון, משה סבל מקושי בבליעה וריור והוגדר במצב של סכנת חיים.
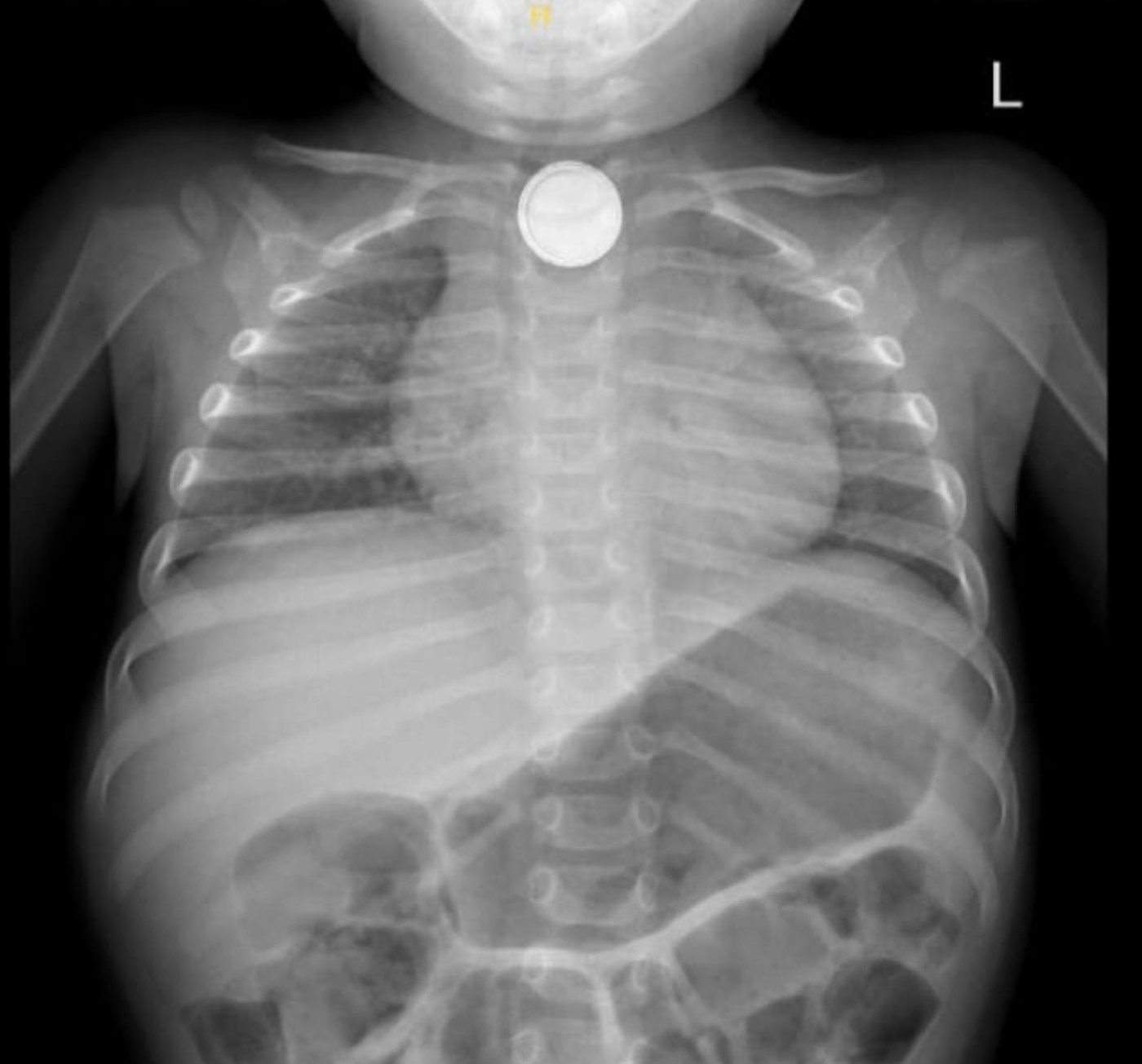
ד"ר דניאל כהנא, מתמחה ברפואת ילדים, קיבלה את הפעוט במלר"ד הילדים וזיהתה במהירות את חומרת המצב. בצילום רנטגן אובחנה הסוללה בוושט העליון, ממצא שהצריך טיפול דחוף. בתוך זמן קצר הוזעק צוות גסטרו ילדים, ניתן טיפול ראשוני בדבש – טיפול ייעודי למקרים של בליעת סוללה למניעת נזק לרקמה – והפעוט הועבר באופן מיידי לחדר ניתוח.

כחצי שעה בלבד מרגע כניסתו למיון, כבר החלה הפעולה להוצאת הסוללה בגסטרוסקופיה דחופה שבוצעה על ידי ד"ר איתן דמארי, מומחה בגסטרו ילדים וסגן מנהל מחלקת הילדים, יחד עם האחות יוליה מלכי. במהלך הפעולה התגלה כי בשל השהות הממושכת נגרמה כוויה נרחבת בוושט.
לאחר הפעולה אושפז משה בטיפול נמרץ ילדים כשהוא מורדם ומונשם, שם קיבל טיפול תומך והשגחה צמודה. למרות הסכנה הממשית והנתונים הלא פשוטים בתחילת האירוע, בזכות הזיהוי המהיר, הפעולה המיידית והטיפול הצמוד – משה יצא מכלל סכנה. לאחר יותר משבוע החל לשתות ולאכול מזון רך לראשונה מאז האירוע, וצפוי להשתחרר בקרוב לביתו.
אזהרה דחופה להורים
ד"ר איתן דמארי, מומחה בגסטרו ילדים וסגן מנהל מחלקת הילדים בבית החולים הציבורי אסותא אשדוד, הדגיש את חומרת המקרה: "מדובר במקרה ייחודי בשל משך הזמן שבו הסוללה הייתה בוושט. סוללה שנשארת בגוף עלולה לגרום לנזק משמעותי ומסכן חיים בתוך זמן קצר מאוד".
ד"ר דמארי הוסיף והדגיש: "חשוב להדגיש כי בכל חשד לבליעת גוף זר, ובמיוחד סוללה, יש לפנות מיד לבית חולים. במקרים של בליעת סוללה, מתן דבש מוקדם יכול להפחית את חומרת הפגיעה עד להגעה לטיפול רפואי". המקרה מצטרף לשורה של אירועים דומים שהתרחשו בשנים האחרונות, כאשר פעוט חרדי נוסף חולץ ממצב דומה במרכז הרפואי פדה פוריה בטבריה.
סכנה נסתרת בכל בית
סוללות ליתיום, הנמצאות כיום כמעט בכל מכשיר אלקטרוני ביתי – משלטים, צעצועים, שעונים ועוד – מהוות סכנה ממשית לילדים צעירים. בשנים האחרונות נרשמה עלייה במספר המקרים של בליעת סוללות, כאשר מקרה דומה תועד במרכז רפואי מאיר, שם ילד בן 3 בלע סוללת דיסק מצעצוע פופולרי.
המומחים ממליצים להורים לשמור על סוללות רזרביות במקום נעול ומוגבה, להקפיד על סגירה הדוקה של תאי הסוללות במכשירים, ולהיות ערניים במיוחד לסימנים כמו קושי בבליעה, ריור מוגבר או הקאות אצל ילדים. במקרה של חשד לבליעת סוללה, יש לפנות מיידית לחדר מיון ולא להמתין להופעת תסמינים.
ד"ר נועה רוזנפלד יהושע, מנהלת טיפול נמרץ ילדים בבית החולים הציבורי אסותא אשדוד, ציינה כי המקרה מדגים את חשיבות הערנות ההורית והתגובה המהירה של המערכת הרפואית. "כל דקה קריטית במקרים כאלה", הדגישה, "והשילוב בין ערנות ההורים לבין מקצועיות הצוותים הרפואיים הוא שמציל חיים".










0 תגובות